Fraud Blocker

Fogszabályozást segítő eszközök

A fogszabályozó

A kivehető vagy rögzített fogszabályozó készülékek mellett számos más eszköz alkalmazására  is szükség lehet ahhoz, hogy a fogszabályozási folyamat a lehető legoptimálisabban menjen
végbe, és a végeredmény a lehető legtökéletesebb legyen.

Eszközök

A fogszabályozást segítő eszközökkel gyorsabb, egyszerűbb és hatékonyabb lehet a fogak mozgatása, elkerülhetőek segítségükkel a nemkívánatos fogmozgások, sőt, még akár az állcsonti műtétek is. Vegyük sorra, melyek a leggyakrabban használt kiegészítő eszközök!

Barátságos csapat

Képzett és tapasztalt fogorvosaink kiemelkedő fogszabályozási szolgáltatásokat nyújtanak Önnek.

Innovatív technológia

Rendelőnkben arra törekszünk, hogy páciensek számára a legkorszerűbb és leghatékonyabb megoldásokat biztosítsuk.

Ügyfélközpontú rendelő

Célunk, hogy a pácienseink igényeit előtérbe helyezve kényelmes és személyre szabott kezeléseket kínáljunk

Harapásemelők

A harapásemelők képesek arra, hogy adott helyeken kiiktassák az alsó és a felső fogsor fogai közötti teljes érintkezést a száj összecsukásakor, így gyorsabb, hatékonyabb és a megfelelő irányban történő fogmozgatást tegyenek lehetővé. A fogszabályzást kiegészítő harapásemelők anyaga általában fogászati tömőanyag vagy fém, amelyet fájdalommentesen, fúrás nélkül ragaszt fel ideiglenesen a kezelőorvos egy vagy több fog felszínére. 

Leggyakrabban mélyharapás esetén kap a páciens harapásemelőt, de az eszköz más harapási rendellenességek megszüntetéséhez is fontos kiegészítő elem lehet. Felhelyezés után az adott fogak nyomásérzékenysége vagy – leginkább a felső frontfogak érintettségekor – kis beszédhiba léphet fel, ezek azonban átmenetiek, 1-2 napon belül rendeződnek.

Intermaxilláris gumik és zsanérok

Az alsó és felső fogazat megfelelő érintkezéséhez, a helyes harapás kialakításához a rögzített fogszabályozók mellett szükség lehet levehető elasztikus gumik, vagy fixált zsanérok alkalmazására is, amelyek egész nap a megfelelő harapási helyzetben tartják a fogíveket, például előrehúzzák az alsó fogsort. 

A fix zsanérokkal összehasonlítva az elasztikus gumik jóval kényelmesebbek, azonban több odafigyelést (legalább napi 20-22 órán át tartó viselést) igényelnek a páciens részéről, és kevésbé hatékonyak, emiatt súlyosabb rendellenesség és nem kellően tudatos páciens esetén inkább zsanér kerül felhelyezésre. 

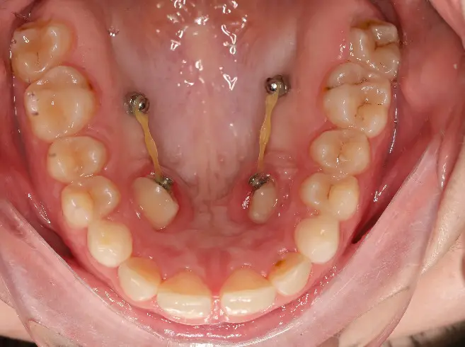
Mini implantátumok

A fogszabályozás során használt mini/mikro implantátumok, mini csavarok segítségével elkerülhetőek a nemkívánatos fogmozgások, akár az állcsonti műtétek is, valamint lerövidíthető a rögzített fogszabályozó készülék viselésének időtartama. Nevüket onnan kapták, hogy méretük töredéke a hagyományos, esztétikai fogászati implantátumoknak, hiszen ezeket a fogíven kívülre, a foggyökerek közötti igen szűk helyekre (vagy esetenként a szájpadba) ültetik be.

A fogaktól független fix támasztékként szolgálnak, így elkerülhető, hogy adott fogak mozgatásakor az azokkal szemben álló fogak is mozgást végezzenek az ellentétes irányba. Az implantátumok titán ötvözetből készülnek, ezért nem csontosodnak be, és könnyedén eltávolíthatóak. Behelyezésük minimális érzéstelenítés mellett, csavaró mozdulatokkal történik, nem igényel vágást, varrást vagy más hasonló beavatkozást. 

Néhány nap alatt  teljesen megszokhatóak, tartós fájdalmat nem okoznak.  A rendszeres és alapos tisztításuk azonban elengedhetetlen a viselés ideje alatt, ha el akarjuk kerülni a komplikációkat! Nem megfelelő szájhigiénia mellett ugyanis ínygyulladás alakulhat ki, amelynek következtében az implantátumok hamar elveszíthetik stabilitásukat, és cseréjükre, újbóli beültetésre lehet szükség.

IDŐPONTFOGLALÁS

Minden fogszabályozással kapcsolatos problémára szakorvosaink megoldást nyújtanak. Várjuk szeretettel rendelőnkben!

Online bejelentkezés

Töltse ki az űrlapot, kattintson a bejelentkezés gombra és hamarosan felvesszük Önnel a kapcsolatot.

Kedves Pácienseink,

Dr. Csulak Fruzsina rendelése és a fogszabályozás részlegünk szabadság miatt zárva tart 2025. 08. 20. és 2025.09.07. között. Első rendelési nap: 2025.09.08.
 
Minden más fogászati ellátásunk zavartalanul működik ebben az időszakban.
 
Megértésüket köszönjük,

A Várfok Dental Csapata

Fogszabályozás Székesfehérvár
Adatvédelmi áttekintés

Ez a weboldal sütiket használ, hogy a lehető legjobb felhasználói élményt nyújthassuk. A cookie-k információit tárolja a böngészőjében, és olyan funkciókat lát el, mint a felismerés, amikor visszatér a weboldalunkra, és segítjük a csapatunkat abban, hogy megértsék, hogy a weboldal mely részei érdekesek és hasznosak.